Viêm nha chu là bệnh mà mọi người đều có thể mắc phải, kể cả trẻ nhỏ. Nếu không chữa trị kịp thời sẽ dẫn đến nhiều biến chứng nguy hiểm. Tuy nhiên, việc phòng tránh cũng không thể xem nhẹ giống như câu nói “phòng bệnh hơn chữa bệnh”. Biết được nguyên nhân và hạn chế nó chính là cách phòng bệnh hiệu quả nhất. Dưới đây là một số chia sẻ của Dr.Vincare về cách điều trị viêm nha chu nguyên nhân. Hãy tham khảo để có phương pháp chăm sóc răng miệng đúng đắn nhất.
Viêm nha chu là gì?
Trước hết, chúng ta nói qua về khái niệm nha chu. Nha chu là tổ chức giữ răng, bao quanh và nâng đỡ răng. Bệnh về nha chu là vấn đề xảy ra với dây chằng, nướu răng và xương ổ răng. Bệnh viêm nha chu tuy không gây nguy hiểm đến tính mạng như khiến người bệnh rất khó chịu, mất thẩm mỹ và có thể phải nhổ răng không thể đứng vững. Có khá nhiều dấu hiệu cũng như nguyên nhân dẫn đến viêm, cần phải điều trị Viêm nha chu kịp thời.

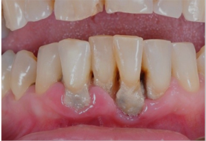
Dấu hiệu bị viêm nha chu
Chảy máu trong quá trình đánh răng Cao răng tích tụ nhiều tại chân răng. Ăn uống khó khăn, cảm thấy đau răng. Hơi thở có mùi, dễ chảy máu chân răng. Răng lung lay Nướu sưng to, có mủ và máu.
Nguyên nhân
Thông thường, lợi răng rất chắc khỏe chúng bám chặt vào chân răng để bảo vệ cho phần xương ổ răng đồng thời cũng giữ cho răng đứng vững. Phần lợi ở giữa các răng săn chắc, tròn hạn chế việc thức ăn đọng hay mắc kẹt giữa kẽ răng.
Sự phát triển của vi khuẩn tại các mảng bám răng là nguyên nhân chủ yếu gây bệnh viêm nha chu. Nếu không đánh răng, vệ sinh răng miệng đúng cách. mảng bám răng sẽ tích tụ ngày càng nhiều, khoáng hóa và trở thành cao răng đồng thời tích trữ lượng vi khuẩn ngày lớn.
Vi khuẩn sẽ tiết độc tố, gây viêm lợi. Lâu dần sẽ phá hủy mô nâng đỡ răng khiến lợi không còn bám chắc vào bề mặt chân răng. Hút thuốc lá cũng là nguyên nhân gây viêm lợi.
Sức đề kháng giảm ở phụ nữ mang thai người già. Người bệnh là môi trường tốt để vi khuẩn phát triển.
Ảnh hưởng của bệnh viêm nha chu
Hôi miệng khiến người bệnh tự ti, không muốn giao tiếp với người khác.
Gây đau nhức, khó chịu khi ăn uống, thậm chí cả khi nói chuyện.
Lung lay chân răng, nếu bệnh chuyển biến nặng hơn, bệnh nhân có thể mất răng.
Mất thẩm mỹ, bởi răng sẽ không sáng và đều màu, đồng thời phần lợi cũng trở nên sẫm màu hơn.
Cách điều trị viêm nha chu
Điều trị viêm nha chu là một trong những việc cần làm tránh cho việc bị viêm nha chu gây biến chứng.
Tình trạng nhẹ: Nếu bệnh mới phát hiện, việc chữa trị sẽ dễ dàng và hiệu quả hơn. Đồng thời bạn sẽ được cạo vôi răng để tránh tình trạng vi khuẩn tích tụ, tái bệnh lần nữa.
Tình trạng nặng hơn: Nếu nướu răng đã có mũ, thẫm màu, chân răng lung lay thì bạn nên đến nha khoa để được khám và đưa ra hướng điều trị.
Điều trị viêm nha chu tại Dr.Vincare
- Phòng phẫu thuật đạt chuẩn và được bộ y tế cấp phép.
- Phòng chụp phim vách chì an toàn, cùng hệ thống máy chụp hiện đại, ít lưu tia, lượng bức xạ thấp hơn 15-20 lần so với các máy chụp X-Quang, CT thông thường.
- Quy trình vô trùng đạt tiêu chuẩn
- Mỗi khách hàng được khám và điều trị với 1 bộ dụng cụ riêng biệt, đã được vệ sinh và vô trùng.
- Tất cả thiết bị, máy móc liên quan đến điều trị được vệ sinh vô trùng ngay sau khi sử dụng.
Phương pháp điều trị viêm nha chu tại Dr.Vincare
Bước 1: Thăm khám, xác định tình trạng bệnh, tư vấn cho bệnh nhân phương án chữa trị.
Bước 2: Loại bỏ mảng bám, đồng thời ngăn vi khuẩn khiến tình trạng răng trở nên tồi tệ hơn. Cạo vôi răng, cố định răng, xác định tình trạng răng có thể giữ hay không.
Bước 3: Thực hiện các biện pháp khắc phục, có thể kèm thuốc, … và tư vấn cách chăm sóc răng miệng. Người mắc bệnh HIV/AIDS, nhiễm trùng sức đề kháng vô cùng kém cũng dễ bị viêm lợi, viêm nha chu.
Nếu bạn đang gặp các vấn đề về răng miệng và cần tư vấn, hãy đến với Dr.Vincare. Chúng tôi là địa chỉ thẩm mỹ và điều trị các vấn đề răng miệng chất lượng và an toàn, với trang thiết bị hiện đại cùng đội ngũ y, bác sĩ có nhiều kinh nghiệm đảm bảo làm hài lòng mọi khách hàng.
“Hãy để Dr.Vincare thay bạn quan tâm tới sức khỏe và chăm sóc răng miệng cho những người bạn yêu thương”
